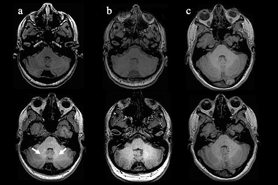
These MRI images of MS patients (a and b) and healthy controls (c) show that patients who had more than 8 scans (a) using gadolinium-based contrast agents have areas of hyperintensity (brighter regions, white arrows) on the scans, indicating gadolinium deposition, compared to the scans of MS patients who had less than 8 scans (b) and healthy controls (c). (Credit: Buffalo Neuroimaging Analysis Center, University at Buffalo)
Release Date: July 8, 2019 This content is archived.
BUFFALO, N.Y. — A comprehensive, longitudinal study of patients with multiple sclerosis (MS) that followed patients from the time of their diagnosis for an average of five years, has found that while a commonly used imaging linear contrast agent, gadodiamide, does accumulate in the brain early in the disease, there is no discernible clinical impact.
At the same time, the study found that there were some indications of greater disease severity in patients who had undergone more magnetic resonance imaging (MRI) studies using these agents.
The findings, published in the July 5, 2019 online issue of Neurology®, the medical journal of the American Academy of Neurology, are the result of work conducted by researchers at the Jacobs School of Medicine and Biomedical Sciences at the University at Buffalo. It is the latest research to address the ongoing controversy in the MS community about use of gadolinium-based contrast agents, known as GBCAs.
Free gadolinium is highly toxic, and for clinical use, it has to be complexed with chelating molecules. There are different types of GBCAs, linear and macrocyclic are the two most frequently used, and structural differences in the molecules can impact their stability. Recently, a general consensus has emerged that linear, but to a lesser extent macrocyclic GBCAs, are associated with the development of gadolinium deposition in the brain.
GBCAs are powerful contrast agents that are injected in many MS patients undergoing MRI on a routine basis, in order to better detect acute inflammation and other signs of disease progression in the brain. Four of those agents have been banned in Europe and in 2017 the U.S. Food and Drug Administration recommended that GBCAs only be used in certain cases when deemed absolutely necessary.
“Our data could become an important reference contributing to regulatory decisions about the use of GBCA in MS,” said Robert Zivadinov, MD, PhD, senior author, a professor of neurology in the Jacobs School and director of UB’s Buffalo Neuroimaging Analysis Center (BNAC.) He also directs the Center for Biomedical Imaging at UB’s Clinical and Translational Science Institute.
Many studies have found depositions of these contrast agents in the brains of patients who have undergone multiple repetitive scans. But no previous, large, case-control, longitudinal study followed MS patients since their first clinical sign of the disease.
Followed since diagnosis
In contrast, the UB study followed 203 MS patients from the time they were diagnosed with MS, and all were followed in UB’s Buffalo Neuroimaging Analysis Center (BNAC) at some point between 2003 and 2016. They all received identical doses of GBCA exclusively on the same MRI at Buffalo General Medical Center.
“This study is one of the first to investigate the longitudinal association between well-established clinical and MRI outcomes of disease severity and gadolinium deposition,” Zivadinov said. “The findings from this study should be incorporated into a risk-versus-benefit analysis when determining the need for GBCA administration in individual MS patients.”
Of special concern, the UB authors noted, are areas of high intensity within some brain regions that have been identified in patients receiving GBCAs.
“But is it the gadodiamide creating the hyperintensity or is it the disease progression?” The UB study’s main finding was that there was no clear association between GBCA deposition in the brain and development of disease progression.
“The study didn’t find any correlation between deposition in the brain and clinical or MRI outcomes, such as accumulation of lesions, brain atrophy or disease severity, at least in the first five years of the disease,” Zivadinov explained. “Over the 4.5 years of follow-up, we didn’t find that GBCA deposition contributed to patients being more disabled.”
This study also was the first to study GBCA in MS patients in comparison to such a large group of healthy controls, 262.
Potentially more susceptible
Because of blood-brain barrier disruption that can be characteristic of MS, and because these agents are administered more frequently to MS patients, Zivadinov noted that they may be more susceptible to accumulating gadolinium in their brains.
The results showed similar GBCA deposition in MS patients who had between five and eight doses of gadodiamide, while patients with fewer than five doses behaved similarly to healthy controls.
At the same time, 8.9% of MS patients who received fewer than 5 doses did have hyperintensity in the part of the brain, called the dentate nucleus, involved in voluntary motor function and cognition, which is often affected by MS; none of the healthy controls did.
And while there was no discernible clinical impact, the researchers did find that patients who received more than eight GBCA doses had more brain lesions and more advanced atrophy of grey matter, compared to patients who had fewer than 8 doses.
“Therefore, we cannot completely rule out that gadolinium deposition may have an impact on disease progression or clinical outcome,” said Zivadinov.
More deposition in males
One unusual finding of the study was that it found more gadolinium deposition in male patients than in female patients, a finding that Zivadinov said is of interest but should be interpreted with caution. He said that one possible explanation is that males receive a higher dose because they tend to weigh more and dosage is based on weight.
Patients in the study were treated through UBMD Neurology. In addition to Zivadinov, co-authors are Niels Bergland, PhD, research assistant professor of neurology in the Jacobs School and BNAC; Michael G. Dwyer, III, PhD, assistant professor of neurology and bioinformatics; Jesper Hagemeier,PhD, research scientist at BNAC; Ferdinand Schweser, PhD, assistant professor of neurology and biomedical engineering; Channa Kolb, MD, assistant professor of neurology; David Hojnacki MD, associate professor; Deepa P. Ramasamy, MD, clinical trial neuroimager, BNAC; and Bianca Weinstock-Guttman, MD, professor of neurology in the Jacobs School and a neurologist with UBMD Neurology.
Ellen Goldbaum
News Content Manager
Medicine
Tel: 716-645-4605
goldbaum@buffalo.edu
